AWARD WINNING MEDISPA

Facial treatment $68 only

backed with clinical results

Medical Facials

choose from 5 facial for all skin types

68

Hydrapeel Facial (Congested)Cosmo Glow (Sensitive & dull)
Acne Medipeel (Acne)Gua Sha Facial (Lift)
Bojin Facial (Aging)

$

first trial

usual price $188BOOK NOW

Why choose Cosmo Medical Spa?

No hard sale

30 years experience

For all skin types

Experienced therapist

Result based treatment

Limited slots available 

*Upon submission, a customer representative will call to confirm appointment

Medical Facial trial only at $68

Book now

Limited slots available

*Upon submission, a customer representative will call to confirm appointment

68

$

first trial

usual price $188BOOK NOW

What is your Skin type?

Choose your medical facial based on your skin type.

Acne Skin

Congested Skin

Lifting Skin

Dull Sensitive Skin

Aging Skin

Acne Medipeel$68

HydraPeel$68

Gua Sha Facial$68

Cosmo Glow$68

Bojin Facial$68

Specialised Bojin Facial to promote blood circulation
AGING SKIN

Salicylic or lactic acid peel to kill acne casing bacteria.
CYSTIC ACNE | ACNE SKIN

5 steps facial to hydrate, deep cleanse pores & brighten skin.
DRY SKIN | CONGEST PORES

Gua sha on facial meridian points to lift and tighten face.
AGING SKIN | SAGGY FACE

Signature glow facial to lightly peel top layer of skin.
DULL SKIN | SENSITIVE SKIN

SERIOUSLY EFFECTIVE FACIALS.

Have you tried many facial establishments with no results? At Cosmo Medical Spa, we have over 30 years experience in providing effective results and comfortable treatments.

NO HARD SELLING.

Let's be honest, hard selling is a turn off. We are just interested in providing quality service.

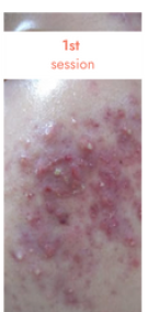
Before & After - Acne Skin

Real Review, Real Results.

>

>

Featured in

With you every step of the way.

Understand your facial journey

1. Skin Analysis

Analyse skin with our skin 

analysis machine & detailed

consultation.

2. Facial Treatment

Begin facial treatment

based on skin recommendation

3. Product Recommend

Specialised skin care will 

be recommended to maintain

skin results. 

4. Follow Up with Cosmo

Book your next appointment

for that continued skin glow.

OVER 30 YEARS

EXPERIENCE 

IN FACIAL 

OVER 2000+

REVIEWS

NO HARD SALE

PROFESSIONAL

COMFORTABLE

Highly rated medical spa Singapore

With over 1000+ five stars reviews

Real Results, Real Reviews

TRUSTED WITH 10,000 SATISFIED CUSTOMERS AND MORE

Customised Medical Facial - FAQ

Q

How long till I can see the results?

A

During your initial consultation, our aesthetician will recommend you a treatment plan. Usually a course of treatment is between 3-8 treatments, depending on your skin type, skin condition and the goal you are wishing to achieve. 
If you just want to refresh your skin then a single treatment may be suitable.

Q

Is the facial painful?

A

You can expect a slight prickly, tingling sensation on the skin but this all depends on individual skin types. Overall the facial is very calming with very good results. The after effects will leave the skin immediately rejuvenated and glowing. The peel sheds the upper layer of skin reducing redness and blemishes. 

MORE QUESTIONS?

WHERE TO FIND US?

COSMO AESTHETIC (CLEMENTI)

COSMO AESTHETIC (TOA PAYOH)

COSMO AESTHETIC (HOUGANG)


443 Clementi Ave 3 #01-65

Singapore 120443

177 Toa Payoh Central #01-134

Singapore 310177

806 Hougang Central #01-152

Singapore 530806

COVID 19 - ALL PRECAUTIONS TAKEN

Face Mask for all Staff



Sanitize & Wash Hands

1M Social Distancing



Daily Temperature Taking



Sanitizer will be provided in the outlets for all customers and staff

Maintain a social distancing of 1 meter and the premise will maintain only 10 pax at al time.

Daily temperature must be taken by all staff who enters the premises

All staff are required to wear mask when interacting with customers

* Disclaimer: Results may vary among individuals. The information, including but not limited to, text, graphics, images and other material, contained on this website is for educational purposes only. The content is not intended in any way as a substitute for professional medical advice, diagnosis or treatment. Always seek the advice of your physician or other qualified healthcare providers with any questions you may have regarding a medical condition or treatment and before undertaking a new health care regimen, and never disregard professional medical advice or delay in seeking it because of something you have read on this website.


TERMS & CONDITIONS


• Promotion is $68 for first trial (exclusive of GST) for the first session only. For subsequent treatments, prices will be from ala carte price.

For Oxygeneo facial, trial starts at $98

• Customers aged 16 – 18 years old have to be accompanied by a parent/guardian.

• Strictly by appointment only. Please arrive 15 minutes earlier and present your identity card during appointment. 

• Upon submitting this form, you agree to allow Cosmo Medical Spa Pte Ltd and it's affiliate companies to contact you for marketing purposes

• Your results may vary.

• Cosmo Medical Spa reserves the right to amend any terms and conditions without prior notice.

• Upon registration, I agree to be contacted for marketing purposes (i.e. appointment booking & reminders, etc.) by Bio Aesthetic

* "Real Review, Real Results" is subject to individual results and last up to 6 months (unless continued treatments are performed). 



Copyright © Cosmo Medical Spa Pte Ltd 2023/24